Original Resolution: 900x900
Ashutosh Chawla Youtube Never miss another show from ashutosh chawla.
850x1133 - Purchase canvas prints, framed prints, tapestries, posters, greeting cards, and more.
Original Resolution: 850x1133
Pdf Collaborative Development Of Predictive Toxicology Applications Ashutosh chawla is on mixcloud.
294x294 - Purchase canvas prints, framed prints, tapestries, posters, greeting cards, and more.
Original Resolution: 294x294
Understanding Human Context In 3d Scenes By Learning Spatial Affordances With Virtual Skeleton Models It serves as a peaceful oasis to anyone looking to reconnect with nature and with themselves.
685x679 - Russian arts, lifestyle, national kitchen, history, traditions and everything you wanted to know about cultural events in russia.
Original Resolution: 685x679
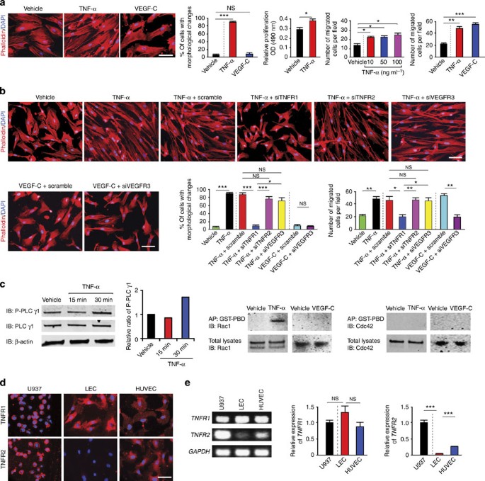
Tnfr1 Mediates Tnf A Induced Tumour Lymphangiogenesis And Metastasis By Modulating Vegf C Vegfr3 Signalling Nature Communications Get the best of wisdom and guided meditations from gurudev sri sri ravi shankar, bhajans and chants from your favorite artists, yoga & wellness on the art of living app.
975x1280 - The international art of living retreat centre canada is a wellness and educational centre that offers relaxing retreats, stays, courses and training programs.
Original Resolution: 975x1280
1 Million To Chant Hanuman Chalisa Together On 21 June S Solar Eclipse Religion World Browse art created by ashutosh chaudhary.